|

长按识别二维码,进入课程直播▲
本文为作者整理,未经授权禁止转载 1 脊柱压缩性骨折 脊柱压缩骨折是临床常见疾病之一。不同病因所致的骨折其治疗原则及其预后有极大的差别,所以鉴别椎体压缩骨折的良恶性有重要的临床意义。 ——病因—— ——椎体变形—— 楔形(前窄后宽) 凹陷形(单凹、双凹) 扁平形(椎体均匀变扁,前后径增大) 倒楔形(前宽后窄) 楔形双凹形 
扁平形 
单凹形 
2 良性压缩性骨折 椎体形态:楔形、凹陷形。 椎体连续性病变(骨质疏松):新鲜、陈旧骨折并存。 

椎间盘改变:椎间盘增厚呈双凸透镜状, 椎间盘疝入椎体, 形成许莫氏结节。 
椎体后上角或后下角向后翘起, 呈尖突样突入椎管, 具有特异性,为其它原因的骨折所少见。 

——良性压缩性骨折MR信号特点—— 良性骨折的修复过程:缺血性变化--修复(骨髓水肿、血流增加或充血现象)--修复近完成(血流恢复正常)--慢性期(脂肪组织再生)。 正常成人:椎体为黄骨髓,T1WI 、T2WI 均为高信号。 当骨髓内出现水肿时,T1 低信号, 与残余的正常骨髓形成明显对比,所以椎体压缩骨折后,MR 信号改变以 T1WI 上观察最好;而在常规 T2WI 图像上,病变骨髓的长 T2 高信号与正常骨髓脂肪信号差别较小,不易观察;T2WI 脂肪抑制技术对于突出显示骨折区长 T2 组织信号具有独特优势,对于判断椎体是否发生脂肪变及骨折是否愈合也有一定价值。 急性早期,椎体压缩,局部缺血,骨髓水肿,T1WI 不均匀低信号,T2WI 高信号,增强扫描无明显的强化。 随后,骨折部位开始修复,血流量增加,增强扫描可出现明显的强化,平扫信号无改变。 慢性期,骨髓内脂肪组织再生,T1WI 椎体内呈混杂高信号。



由于大多数外力轻微,椎体内多形成范围局限、移位不明显的骨折线,骨折线周围水肿亦多局限,因此,较少出现全椎体信号异常。 
椎体后角回避现象:T1WI 椎体上部或大部呈低信号, 而后角信号不变。 


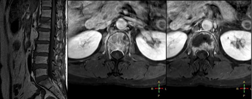
椎弓根改变:由于旋转的扭力或是上下的压力造成椎体血流循环改变而致椎弓根的髓内水肿,使信号改变累及椎弓根,但椎弓根无变形或膨大。 
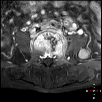
所以,椎弓根的信号改变并非恶性骨肿瘤所特有,约20%~ 30%的良性压缩性骨折会出现椎弓根水肿而信号增高。 恶性压缩性骨折, 约有60%~ 80%出现椎弓根水肿及信号变化,而在椎弓根出现不正常信号的恶性压缩性骨折中, 约有50%~70%出现椎弓根膨大的现象,为其特异性, 可作为鉴别诊断的依据。 椎旁软组织肿块:最典型的表现为椎旁一薄环状异常信号带,因为椎体压缩时常继发椎旁软组织水肿与出血, 这一征象多见于单纯骨折, 病理性骨折少见。 
3 恶性压缩性骨折 椎体上下径变窄而前后径增大,椎体后部皮质后突,后角一般表现圆钝,无上翘,常呈球形突出,致椎管狭窄,即膨胀性盘状破坏,硬膜囊和脊髓受压。 
——恶性压缩性骨折MR信号特点—— 由于肿瘤组织的侵犯,T1WI上椎体呈弥漫性低信号,T2WI呈高信号,增强扫描呈明显不均匀强化。 
转移瘤 椎弓根改变:椎弓根膨大仅见于恶性压缩性骨折,故为其特异性,可作为鉴别诊断的依据。 
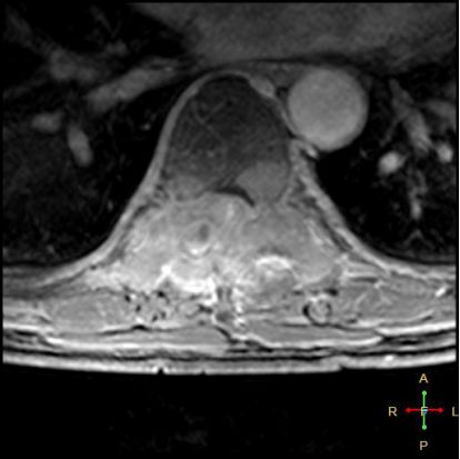
椎旁软组织肿块:在转移瘤中,受累椎体周围多出现分叶状或肿瘤样软组织肿块,此征象仅见于恶性压缩性骨折。故,椎旁薄环状软组织与瘤样软组织肿块是鉴别骨折性质较有特征性的征象。 
4 总结:鉴别诊断 ——良性压缩性骨折—— 楔形或凹陷形 连续性分布 椎间盘增厚双凸状,许莫氏结节 急性期T1WI不均匀低信号 椎体后角翘起突入椎管内 椎体后角回避现象 可伴椎弓根水肿、无膨大 椎旁薄环形软组织影
——恶性压缩性骨折—— 扁平形或倒楔形 跳跃性分布(转移瘤) 椎间盘不受累 T1WI均匀低信号 后角圆钝,膨胀性盘状破坏 椎弓根受累、膨大 椎旁分叶状及肿瘤样软组织肿块
投稿邮箱:gujinzw@163.com 投稿电话:18931720716(微信同) GUJINZHONGWAI 推荐阅读 1.荐读:术中突发骨水泥反应综合征该怎么办?处理策略在这儿...... 2.网球肘的康复训练 | 骨科基础 3.这位医生说谎14年,被发现后… 
觉得不错请点好看!! |